L’ecografia portatile ha fatto un passo decisivo verso l’innovazione con l’introduzione del Sonoscape E1, un dispositivo che combina portabilità, qualità d’immagine e tecnologie avanzate per soddisfare le esigenze diagnostiche moderne.
Caratteristiche principali del Sonoscape E1:
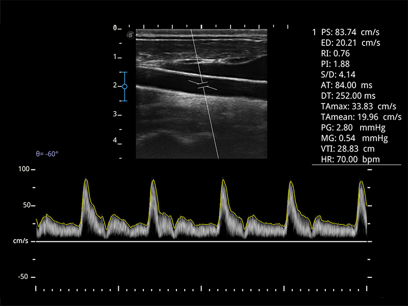
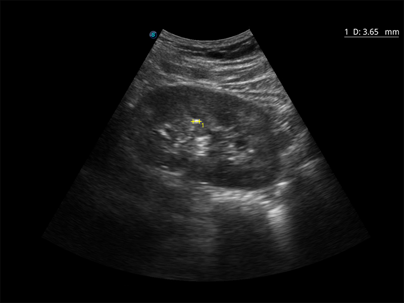
Imaging avanzato:
- μ-Scan per ridurre il rumore e migliorare la chiarezza dell’immagine.
- Spatial Compound Imaging per una visualizzazione più dettagliata delle strutture anatomiche.
- Pulse Inversion Harmonic Imaging (PIH) per immagini più nitide e accurate.
- Wide Scan per un’area dell’immagine ingrandita, utile in esami come l’ecografia ostetrica e ginecologica.
- Chroma per evidenziare i dettagli dell’immagine, migliorando la visibilità delle strutture vascolari.
- B Steer per la sonda lineare, facilitando l’orientamento dell’immagine.
Design ergonomico:
- Schermo LED HD da 15,6″ con regolazione dell’angolo di inclinazione per una visione ottimale.
- Tastiera retroilluminata e pannello intelligente per un’interazione intuitiva.
- Due porte per trasduttore, supportando diverse sonde per applicazioni varie.
- Batteria a lunga durata fino a 90 minuti, ideale per ambienti clinici dinamici.
Facilità d’uso:
Connettività Wi-Fi e Bluetooth, supporto DICOM e disco rigido da 500 GB per una gestione efficiente dei dati.
Avvio rapido e regolazione automatica della luminosità per un’esperienza utente semplificata.
Funzioni automatiche come ottimizzazione dell’immagine, misurazione dell’IMT e tracciamento, riducendo il tempo di preparazione dell’esame.
Perché scegliere il Sonoscape E1:


Il Sonoscape E1 rappresenta una scelta ideale per strutture sanitarie che necessitano di un dispositivo versatile, portatile e tecnologicamente avanzato. La sua capacità di fornire immagini di alta qualità e la facilità d’uso lo rendono adatto a una vasta gamma di applicazioni cliniche, dalla ginecologia alla cardiologia, fino alla medicina d’urgenza.over rental cars, so check with your provider before purchasing additional coverage. It’s important to understand what is covered and any potential deductibles or exclusions.


